Comfortable, natural-looking dentures designed to restore your smile and confidence.

Dentures in Gipsy Hill – Natural, Comfortable Tooth Replacement

What are Dentures?

Dentures are removable prosthetic devices used to replace missing teeth and restore your ability to eat, speak and smile with confidence. Whether you’ve lost some or all of your natural teeth, modern dentures offer an affordable, natural-looking and reliable solution.

At Dentistry on Gipsy Hill, we provide full and partial dentures made from premium materials — crafted to match the shape, size and colour of your natural teeth. With today’s advanced techniques, dentures are more lifelike and comfortable than ever before.

Benefits of Dentures

  • Restore your ability to chew and speak with ease
  • Enhance facial structure and prevent a sunken appearance
  • Boost confidence with a full, natural-looking smile
  • Affordable and non-invasive tooth replacement option
  • Custom-fitted for comfort and stability
  • Easy to clean and maintain

Our Denture Options

Full Dentures

Full dentures are used when all natural teeth are missing in the upper or lower jaw. These custom appliances sit snugly on the gums and are designed to restore full function and appearance.

Partial Dentures

If you still have some healthy teeth remaining, a partial denture may be the best option. These attach securely to your existing teeth and fill gaps with natural-looking replacements.

Implant-Retained Dentures (Coming Soon)

We are also exploring options for implant-supported dentures — a more secure alternative for patients looking for maximum stability.

Why Choose Dentistry on Gipsy Hill for Dentures?

We understand that choosing dentures is both a physical and emotional journey. At Dentistry on Gipsy Hill, we focus on patient comfort, aesthetics and functionality — ensuring you walk away with a denture that fits, feels and looks just right.

From your initial consultation through to fittings and adjustments, we take time to get everything just right. Our dentures are made using high-quality materials by trusted dental labs, and we design each set to complement your face shape, smile and bite.

We’ve helped countless patients in Gipsy Hill, Crystal Palace and South London regain their confidence — and our practice testimonials speak for themselves.

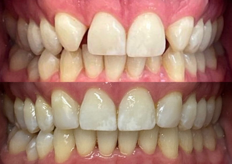
Smile Gallery

We are proud of our delivered results

FAQs About Dentures

Will people be able to tell I’m wearing dentures?

Not at all. Modern dentures are made to look like real teeth and gums. We custom match the shade, shape and fit to your mouth for the most natural result.

How long do dentures last?

With proper care, dentures can last 5–10 years. Your mouth changes over time, so periodic adjustments or replacements may be needed for the best fit.

Are dentures painful or uncomfortable?

Your new dentures may feel unusual at first, but they shouldn’t cause pain. We offer thorough fittings and follow-ups to ensure long-term comfort.

Can I eat normally with dentures?

Yes. You’ll gradually adapt to eating with your new dentures. Softer foods are best at first, and we’ll provide full instructions to help you adjust.

As Seen in

Ready to Smile? Make an Enquiry Today

Fill in the form and our friendly team will be in touch with you momentarily

We love making you smile

I had an amazing experience at Dentistry at Gypsy Hill with Dr Annie. From the very start, she was professional, caring, and thorough in planning my treatment, right through to the complete restoratio… Read More

Reggae Pulse

I have been coming to Dentistry on Gipsy Hill for the past few years, and it’s been nothing but a pleasure. Dr Annie is lovely, professional and clearly super experienced – she has been a consistent s… Read More

Catalina Carrion Sierra

It all started with munching on nuts and my big filling chipping in my mouth at 9pm ! The next morning Dentistry on Gypsy Hill came to the rescue- and then some. I’m already scared of the dentist an… Read More

Diamond killers

I attended the practice today for a check up and fillings. Dr Shand was incredible from the start of the consultation to the end. She immediately put me at ease and clearly explained what the plan was… Read More

Lauren Culley

Fabulous, friendly, and professional service! Started my Invisalign journey with Dr Marvi Talpur and nurse Alma in January 2025, and a year later, I’m absolutely delighted with the final results! High… Read More

Leanne Quille
YouTube Thumbnail
YouTube Thumbnail
YouTube Thumbnail
WhatsApp Book Now Call Now